实盘配资网站
近日,山东第一医科大学附属肿瘤医院呼吸内科一病区主任王海永团队接诊一例SMARCA4 缺失型非小细胞肺癌患者。67岁的苗先生因持续咳嗽于当地检查后发现右肺下叶5.2cm×4.4cm占位性病变伴多发淋巴结转移,病理显示为SMARCA4缺失型非小细胞肺癌。抱着一丝希望,苗先生和家人来到山东第一医科大学附属肿瘤医院。我院专家通过多学科会诊,迅速集合肿瘤内科、放疗科、影像科、病理科等多领域专家共同为苗先生制定了个体化治疗方案,治疗效果显著。
SMARCA4缺失型非小细胞肺癌十分罕见,由于SMARCA4基因表达缺失导致癌细胞“失控生长”,具有恶性程度高、传统治疗效果差、生存期短的特点,肿瘤生长快、侵袭性强,而且对多数治疗方式不敏感,很多这类患者往往治疗效果不理想,尚未等到有效方案就出现了恶化,生存期很短。苗先生肿瘤标志物多项指标出现大幅升高,纵隔、肺门甚至锁骨上的淋巴结都伴随转移,已发展到ⅢC(中晚)期,治疗难度极大。
经多学科会诊,建议苗先生加入王海永主任发起的一项专门针对“SMARCA4缺失型肺癌”的临床试验“艾帕洛利托沃瑞利单抗联合含铂双药化疗和安罗替尼治疗SMARCA4缺失的晚期或转移性非小细胞肺癌的单臂、II期临床研究”,采用免疫治疗联合抗血管联合化疗的“多兵种联合作战”方案。
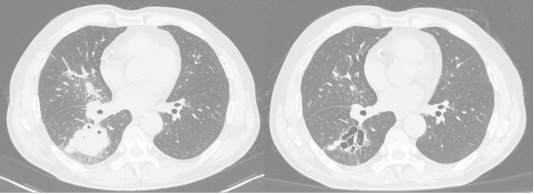
完成两周期治疗后,苗先生病情有了显著好转。胸部CT显示肺部肿瘤明显缩小,实性部分基本消失变成了多房空洞;最大的转移淋巴结从2.3cm缩小到1.5cm;之前升高的肿瘤标志物中多项已恢复正常。咳嗽、胸闷等症状明显减轻,生活质量大大提高。目前,苗先生正按计划继续随访治疗。


责任编辑:刘兆实盘配资网站
元鼎证券_元鼎证券开户_线上配资下载app提示:本文来自互联网,不代表本网站观点。